- HOME
- 症例写真
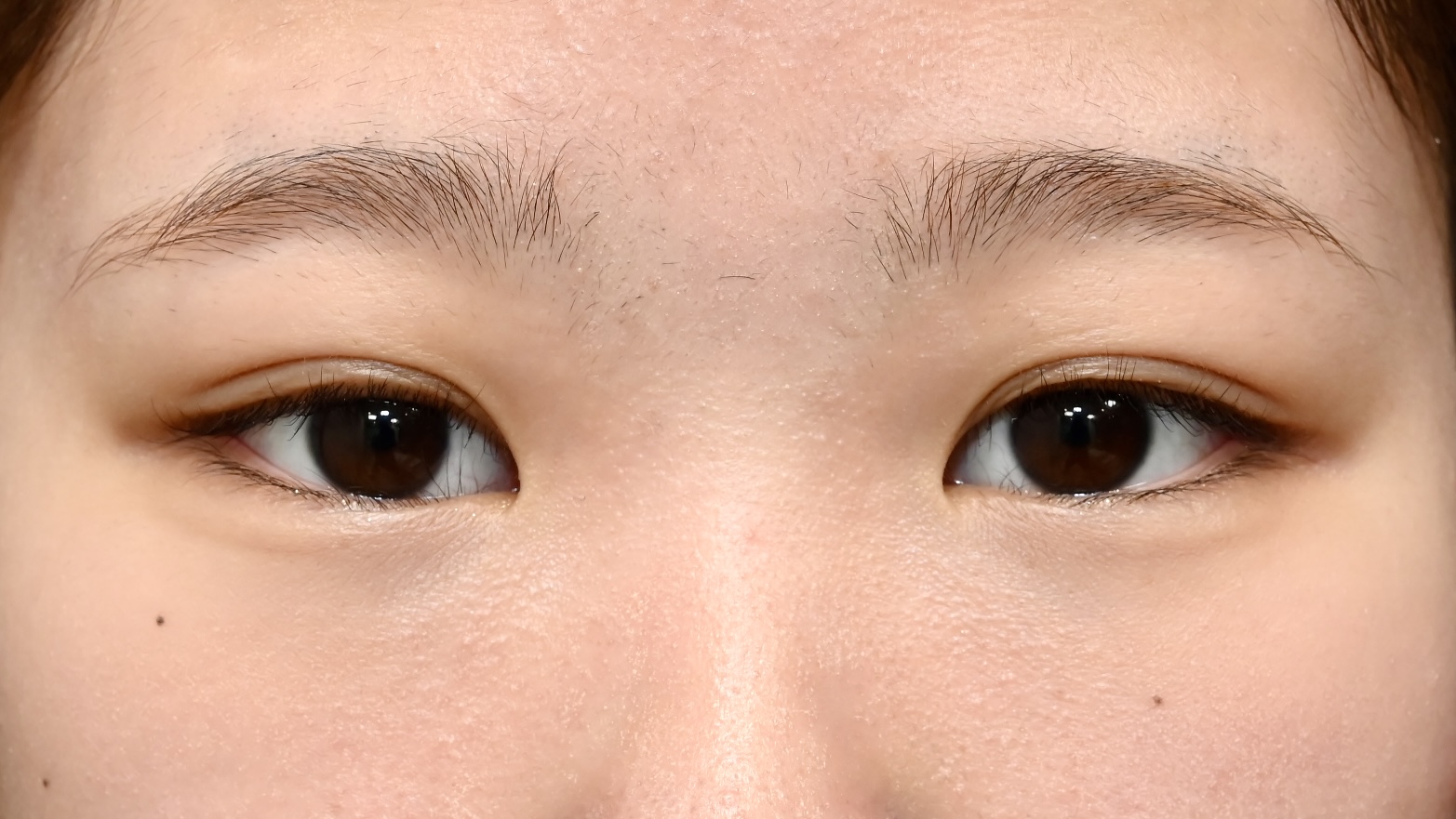
Case
Case
BEFORE
AFTER
| 施術名 | 二重切開法 |
|---|---|
| 施術説明 | 設定した二重線に沿って皮膚を切開し、内部組織を処理した上、皮膚を縫合し二重を形成する。 |
| 副作用・リスク | 痛み・出血・血腫・感染・知覚異常・左右差・凹凸・しこり・傷痕・閉瞼不全・眼瞼痙攣など。 |
| 施術料金(税込) | ¥440,000 |
BEFORE
AFTER
| 施術名 | ヒアルロン酸注入(上まぶた) |
|---|---|
| 施術説明 | 製剤注入によりまぶたの形態を調整する。 |
| 副作用・リスク | 内出血・血腫・感染・開瞼障害(一時的)・凹凸・左右差・アレルギー反応・血管閉塞など。 |
| 施術料金(税込) | ¥176,000(1.6cc注入)+特殊部位手技料¥22,000 |
BEFORE
AFTER
| 施術名 | 二重切開法 |
|---|---|
| 施術説明 | 設定した二重線に沿って皮膚を切開し、内部組織を処理した上、皮膚を縫合し二重を形成する。 |
| 副作用・リスク | 痛み・出血・血腫・感染・知覚異常・左右差・凹凸・しこり・傷痕・閉瞼不全・眼瞼痙攣など。 |
| 施術料金(税込) | ¥440,000 |
BEFORE
AFTER
| 施術名 | ヒアルロン酸注入(上まぶた) |
|---|---|
| 施術説明 | 製剤注入によりまぶたの形態を調整する。 |
| 副作用・リスク | 内出血・血腫・感染・開瞼障害(一時的)・凹凸・左右差・アレルギー反応・血管閉塞など。 |
| 施術料金(税込) | ¥88,000+特殊部位手技料¥22,000 |
BEFORE
AFTER
| 施術名 | 表ハムラ法 |
|---|---|
| 施術説明 | 下まぶたの縁の皮膚を切開切除したるみを改善させる。また、靭帯剥離や眼窩脂肪移動などの組織処理を行い立体感を整える。 |
| 副作用・リスク | 出血・血腫・感染・結膜炎・結膜下出血・凹凸・左右差・知覚異常・三白眼・外反・傷あとなど。 |
| 施術料金(税込) | ¥660,000(静脈麻酔代込み) |
BEFORE
AFTER
| 施術名 | 裏ハムラ法 |
|---|---|
| 施術説明 | まぶたの裏側(結膜側)を切開し、靭帯剥離や眼窩脂肪移動などの組織処理を行い、立体感を整える。 |
| 副作用・リスク | 出血・血腫・感染・結膜炎・結膜下出血・凹凸・左右差・三白眼・内外反など。 |
| 施術料金(税込) | ¥550,000(静脈麻酔代込み) |
BEFORE
AFTER
| 施術名 | 表ハムラ法 |
|---|---|
| 施術説明 | 下まぶたの縁の皮膚を切開し、靭帯剥離や眼窩脂肪移動などの組織処理を行い、立体感を整える。 |
| 副作用・リスク | 出血・血腫・感染・結膜炎・結膜下出血・凹凸・左右差・知覚異常・三白眼・外反・傷あとなど。 |
| 施術料金(税込) | ¥660,000(静脈麻酔代込み) |
BEFORE
AFTER
| 施術名 | ①眉下切開 ②表ハムラ法 |
|---|---|
| 施術説明 | ①眉毛の下縁に沿って皮膚を切除縫合し、上まぶたのたるみを改善させる。 ②下まぶたの縁の皮膚を切開切除したるみを改善させる。また、靭帯剥離や眼窩脂肪移動などの組織処理を行い立体感を整える。 |
| 副作用・リスク | ①出血・血腫・感染・引きつれ・傷痕・眉毛変形・左右差・閉瞼不全など。 ②出血・血腫・感染・結膜炎・結膜下出血・凹凸・左右差・知覚異常・三白眼・外反・傷あとなど。 |
| 施術料金(税込) | ①¥440,000 ②¥660,000(静脈麻酔代込み) |
BEFORE
AFTER
| 施術名 | 眉下切開 |
|---|---|
| 施術説明 | 眉毛の下縁に沿って皮膚を切除縫合し、上まぶたのたるみを改善する。 |
| 副作用・リスク | 出血・血腫・感染・引きつれ・傷痕・眉毛変形・二重や蒙古ヒダの変形・左右差・閉瞼不全など。 |
| 施術料金(税込) | ¥440,000 |
BEFORE
AFTER
| 施術名 | 裏ハムラ法 |
|---|---|
| 施術説明 | まぶたの裏側(結膜側)を切開し、靭帯剥離や眼窩脂肪移動などの組織処理を行い、立体感を整える。 |
| 副作用・リスク | 出血・血腫・感染・結膜炎・結膜下出血・凹凸・左右差・三白眼・内外反など。 |
| 施術料金(税込) | ¥550,000(静脈麻酔代込み) |