- HOME
- 症例写真
Case
Case
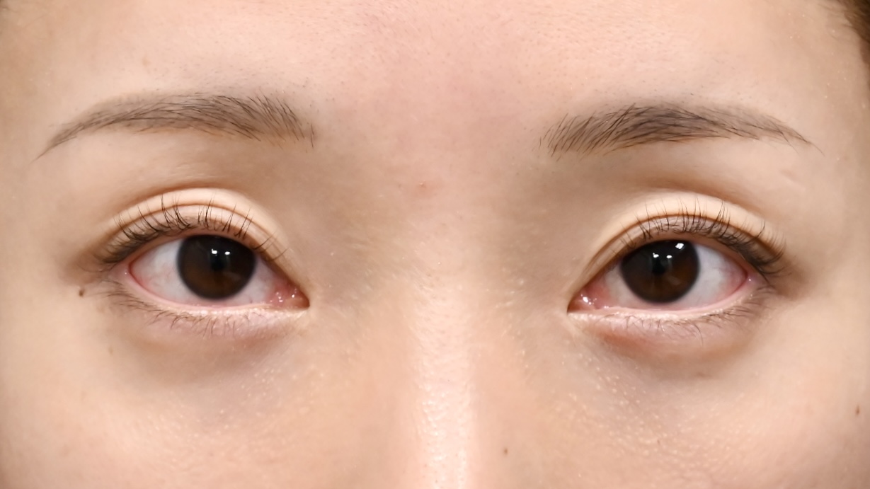
BEFORE
AFTER
| 施術名 | ①ヒアルロン酸溶解 ②ヒアルロン酸注入(上まぶた) |
|---|---|
| 施術説明 | ①ヒアルロン酸分解酵素を注射し、注入されたヒアルロン酸を溶解する。 ②製剤注入によりまぶたの形態を調整する。 |
| 副作用・リスク | ①溶解効果不十分・アレルギー反応など。 ②内出血・血腫・感染・開瞼障害(一時的)・凹凸・左右差・アレルギー反応・血管閉塞など。 |
| 施術料金(税込) | ①¥22,000/1部位(片側) ②¥88,000+特殊部位手技料¥22,000 |
BEFORE
AFTER
| 施術名 | ヒアルロン酸注入(上下まぶた)(脱脂後の窪みの修正) |
|---|---|
| 施術説明 | 製剤注入によりまぶたの形態を調整する。 |
| 副作用・リスク | 内出血・血腫・感染・開瞼障害(一時的)・凹凸・左右差・アレルギー反応・血管閉塞など。 |
| 施術料金(税込) | ¥176,000(1.9cc使用)+特殊部位手技料¥22,000 |
BEFORE
AFTER
| 施術名 | ヒアルロン酸注入(上まぶた) |
|---|---|
| 施術説明 | 製剤注入によりまぶたの形態を調整する。 |
| 副作用・リスク | 内出血・血腫・感染・開瞼障害(一時的)・凹凸・左右差・アレルギー反応・血管閉塞など。 |
| 施術料金(税込) | ¥88,000+特殊部位手技料¥22,000 |
BEFORE
AFTER
| 施術名 | ヒアルロン酸注入(上まぶた) |
|---|---|
| 施術説明 | 製剤注入によりまぶたの形態を調整する。 |
| 副作用・リスク | 内出血・血腫・感染・開瞼障害(一時的)・凹凸・左右差・アレルギー反応・血管閉塞など。 |
| 施術料金(税込) | ¥88,000+特殊部位手技料¥22,000 |
BEFORE
AFTER
| 施術名 | ヒアルロン酸注入(上まぶた) |
|---|---|
| 施術説明 | 製剤注入によりまぶたの形態を調整する。 |
| 副作用・リスク | 内出血・血腫・感染・開瞼障害(一時的)・凹凸・左右差・アレルギー反応・血管閉塞など。 |
| 施術料金(税込) | ¥88,000+特殊部位手技料¥22,000 |
BEFORE
AFTER
| 施術名 | ①ヒアルロン酸注入(上まぶた) ②ボトックス注射(額) |
|---|---|
| 施術説明 | ①製剤注入によりまぶたの形態を調整する。 ②筋肉に注射し運動を制限することで、しわ改善などの効果を図る。 |
| 副作用・リスク | ①内出血・血腫・感染・開瞼障害(一時的)・凹凸・左右差・アレルギー反応・血管閉塞など。 ②違和感・表情の作りづらさ・左右差など。 |
| 施術料金(税込) | ①¥88,000+特殊部位手技料¥22,000 ②¥16,500~¥22,000/1部位 |
BEFORE
AFTER
| 施術名 | ヒアルロン酸注入(上まぶた) |
|---|---|
| 施術説明 | 製剤注入によりまぶたの形態を調整する。 |
| 副作用・リスク | 内出血・血腫・感染・開瞼障害(一時的)・凹凸・左右差・アレルギー反応・血管閉塞など。 |
| 施術料金(税込) | ¥88,000+特殊部位手技料¥22,000 |
BEFORE
AFTER
| 施術名 | ヒアルロン酸注入(上まぶた) |
|---|---|
| 施術説明 | 製剤注入によりまぶたの形態を調整する。 |
| 副作用・リスク | 内出血・血腫・感染・開瞼障害(一時的)・凹凸・左右差・アレルギー反応・血管閉塞など。 |
| 施術料金(税込) | ¥88,000+特殊部位手技料¥22,000 |
BEFORE
AFTER
| 施術名 | ヒアルロン酸注入(上まぶた) |
|---|---|
| 施術説明 | 製剤注入によりまぶたの形態を調整する。 |
| 副作用・リスク | 内出血・血腫・感染・開瞼障害(一時的)・凹凸・左右差・アレルギー反応・血管閉塞など。 |
| 施術料金(税込) | ¥88,000+特殊部位手技料¥22,000 |
BEFORE
AFTER
| 施術名 | ヒアルロン酸注入(上まぶた) |
|---|---|
| 施術説明 | 製剤注入によりまぶたの形態を調整する。 |
| 副作用・リスク | 内出血・血腫・感染・開瞼障害(一時的)・凹凸・左右差・アレルギー反応・血管閉塞など。 |
| 施術料金(税込) | ¥176,000(2cc使用) |