- HOME
- 症例写真
Case
Case
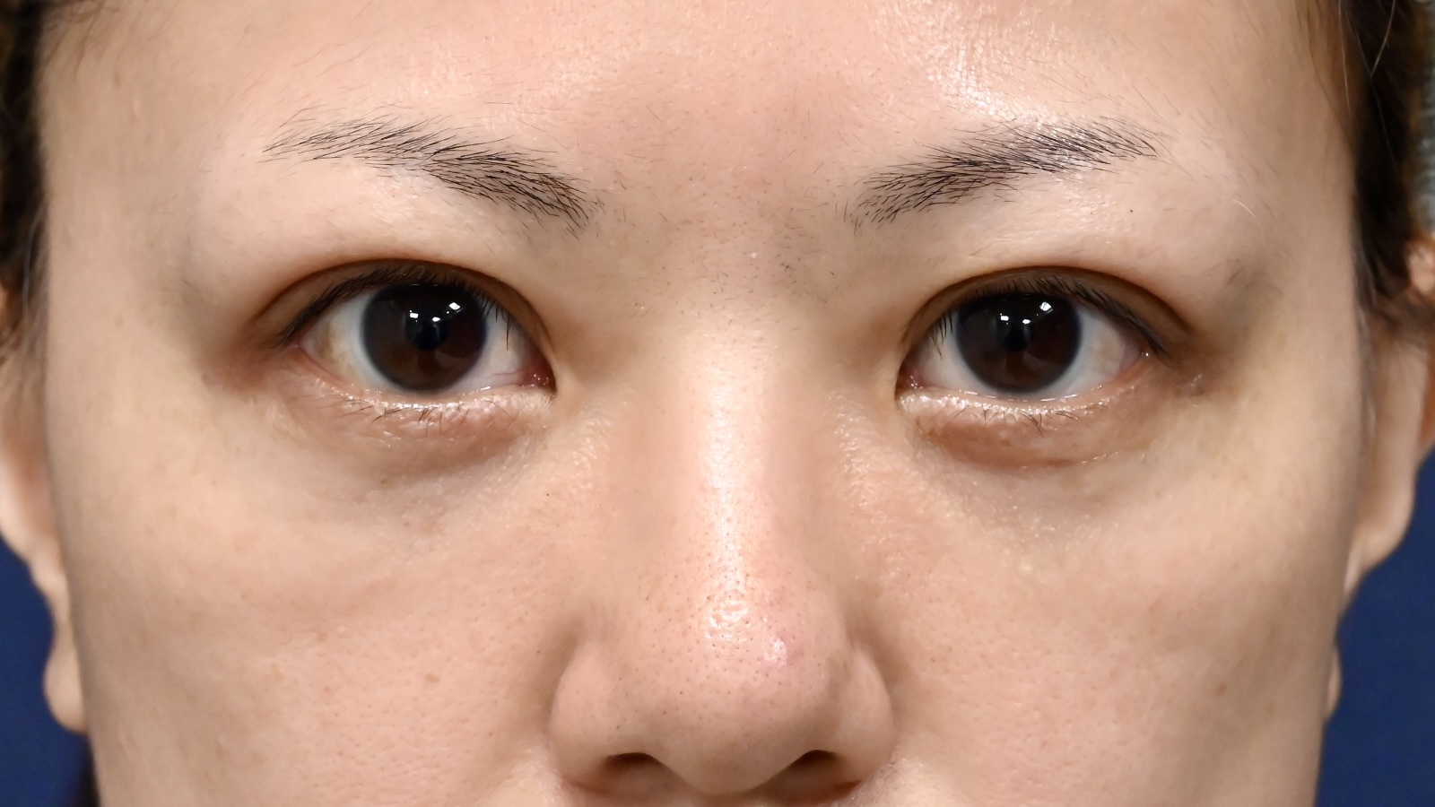
BEFORE
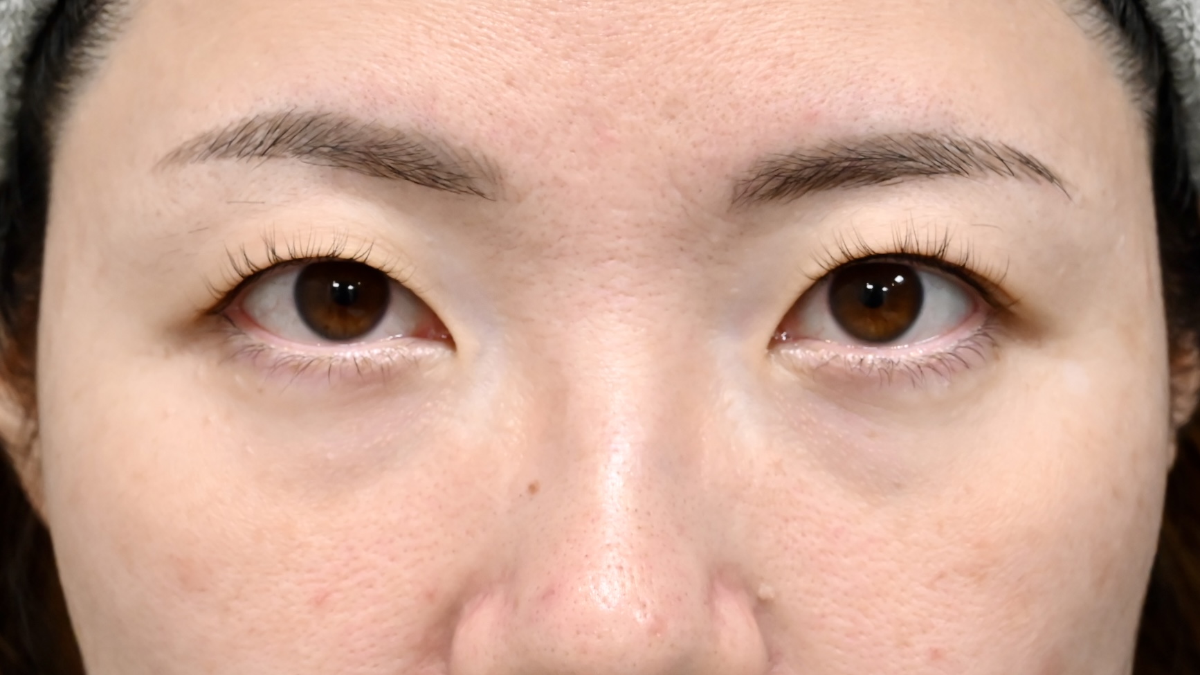
AFTER
| 施術名 | 裏ハムラ法 |
|---|---|
| 施術説明 | まぶたの裏側(結膜側)を切開し、靭帯剥離や眼窩脂肪移動などの組織処理を行い、立体感を整える。 |
| 副作用・リスク | 出血・血腫・感染・結膜炎・結膜下出血・凹凸・左右差・三白眼・内外反など。 |
| 施術料金(税込) | ¥550,000(静脈麻酔代込み) |
BEFORE
AFTER
| 施術名 | ①裏ハムラ法 ②二重埋没法(ダブルループ) |
|---|---|
| 施術説明 | ①まぶたの裏側(結膜側)を切開し、靭帯剥離や眼窩脂肪移動などの組織処理を行い、立体感を整える。 ②上まぶたに細い糸を埋め込み、皮膚を切開せずに二重を形成する。 |
| 副作用・リスク | ①出血・血腫・感染・結膜炎・結膜下出血・凹凸・左右差・三白眼・内外反など。 ②感染・左右差・二重ラインの消失・皮膚の凹凸・糸が出てくるなど。 |
| 施術料金(税込) | ①¥550,000(静脈麻酔代込み) ②¥165,000 |
BEFORE
AFTER
| 施術名 | 裏ハムラ法 |
|---|---|
| 施術説明 | まぶたの裏側(結膜側)を切開し、靭帯剥離や眼窩脂肪移動などの組織処理を行い、立体感を整える。 |
| 副作用・リスク | 出血・血腫・感染・結膜炎・結膜下出血・凹凸・左右差・三白眼・内外反など。 |
| 施術料金(税込) | ¥550,000(静脈麻酔代込み) |
BEFORE
AFTER
| 施術名 | 裏ハムラ法 |
|---|---|
| 施術説明 | まぶたの裏側(結膜側)を切開し、靭帯剥離や眼窩脂肪移動などの組織処理を行い、立体感を整える。 |
| 副作用・リスク | 出血・血腫・感染・結膜炎・結膜下出血・凹凸・左右差・三白眼・内外反など。 |
| 施術料金(税込) | ¥550,000(静脈麻酔代込み) |
BEFORE
AFTER
| 施術名 | 裏ハムラ法 |
|---|---|
| 施術説明 | まぶたの裏側(結膜側)を切開し、靭帯剥離や眼窩脂肪移動などの組織処理を行い、立体感を整える。 |
| 副作用・リスク | 出血・血腫・感染・結膜炎・結膜下出血・凹凸・左右差・三白眼・内外反など。 |
| 施術料金(税込) | ¥550,000(静脈麻酔代込み) |
BEFORE
AFTER
| 施術名 | ①裏ハムラ法 ②二重埋没法(左のみ) |
|---|---|
| 施術説明 | ①まぶたの裏側(結膜側)を切開し、靭帯剥離や眼窩脂肪移動などの組織処理を行い、立体感を整える。 ②上まぶたに細い糸を埋め込み、皮膚を切開せずに二重を形成する。 |
| 副作用・リスク | ①出血・血腫・感染・結膜炎・結膜下出血・凹凸・左右差・三白眼・内外反など。 ②感染・左右差・二重ラインの消失・皮膚の凹凸・糸が出てくるなど。 |
| 施術料金(税込) | ①¥550,000(静脈麻酔代込み) ②¥115,500(片側) |
BEFORE
AFTER
| 施術名 | 裏ハムラ法 |
|---|---|
| 施術説明 | まぶたの裏側(結膜側)を切開し、靭帯剥離や眼窩脂肪移動などの組織処理を行い、立体感を整える。 |
| 副作用・リスク | 出血・血腫・感染・結膜炎・結膜下出血・凹凸・左右差・三白眼・内外反など。 |
| 施術料金(税込) | ¥550,000(静脈麻酔代込み) |
BEFORE
AFTER
| 施術名 | 裏ハムラ法 |
|---|---|
| 施術説明 | まぶたの裏側(結膜側)を切開し、靭帯剥離や眼窩脂肪移動などの組織処理を行い、立体感を整える。 |
| 副作用・リスク | 出血・血腫・感染・結膜炎・結膜下出血・凹凸・左右差・三白眼・内外反など。 |
| 施術料金(税込) | ¥550,000(静脈麻酔代込み) |
BEFORE
AFTER
| 施術名 | 裏ハムラ法 |
|---|---|
| 施術説明 | まぶたの裏側(結膜側)を切開し、靭帯剥離や眼窩脂肪移動などの組織処理を行い、立体感を整える。 |
| 副作用・リスク | 出血・血腫・感染・結膜炎・結膜下出血・凹凸・左右差・三白眼・内外反など。 |
| 施術料金(税込) | ¥550,000(静脈麻酔代込み) |
BEFORE
AFTER
| 施術名 | ①裏ハムラ法 ②二重埋没法 |
|---|---|
| 施術説明 | ①まぶたの裏側(結膜側)を切開し、靭帯剥離や眼窩脂肪移動などの組織処理を行い、立体感を整える。 ②上まぶたに細い糸を埋め込み、皮膚を切開せずに二重を形成する。 |
| 副作用・リスク | ①出血・血腫・感染・結膜炎・結膜下出血・凹凸・左右差・三白眼・内外反など。 ②感染・左右差・二重ラインの消失・皮膚の凹凸・糸が出てくるなど。 |
| 施術料金(税込) | ①¥550,000(静脈麻酔代込み) ②¥165,000 |