- HOME
- 症例写真
Case
Case
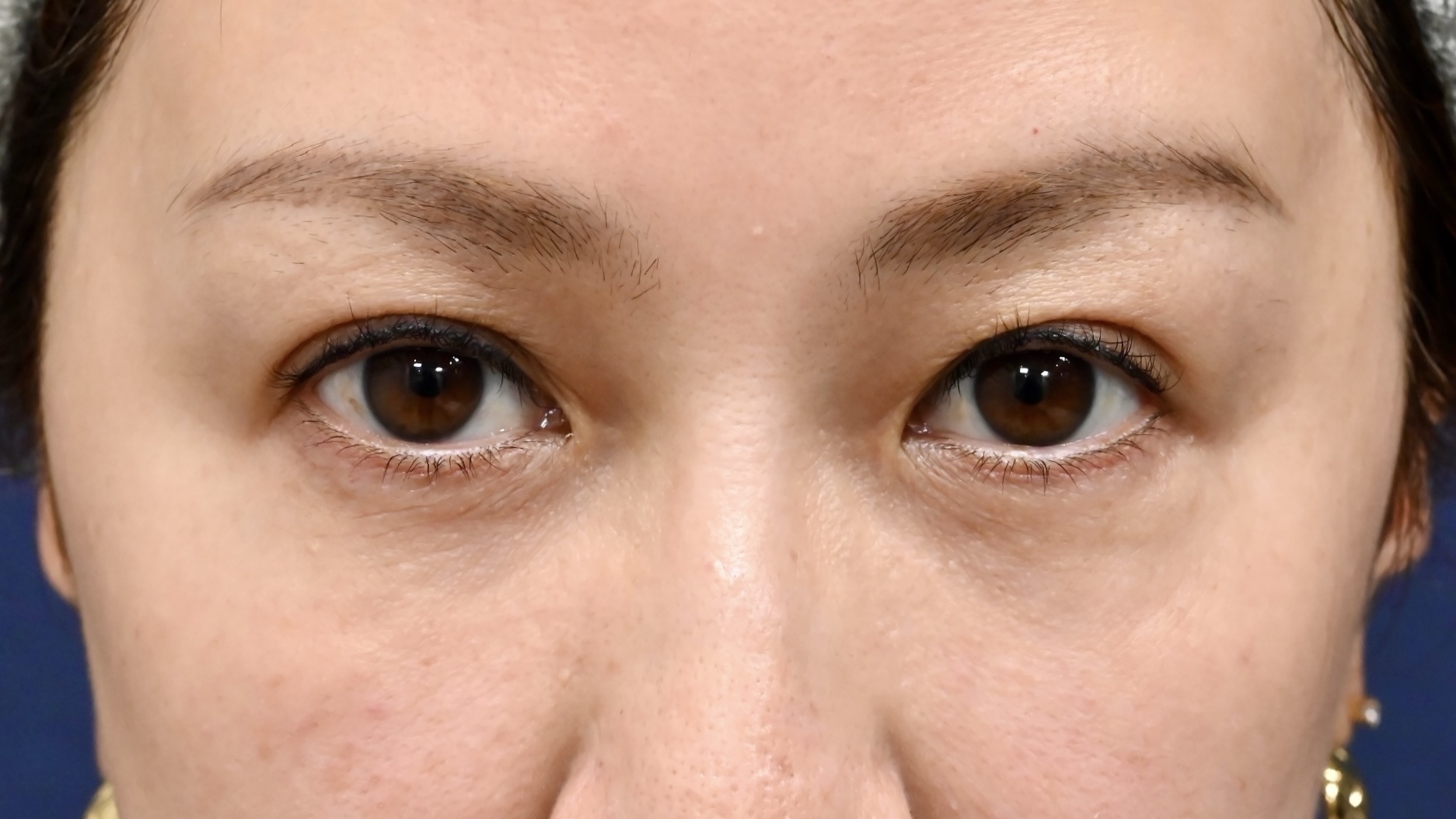
BEFORE
AFTER
| 施術名 | ヒアルロン酸注入(上まぶた) |
|---|---|
| 施術説明 | 製剤注入によりまぶたの形態を調整する。 |
| 副作用・リスク | 内出血・血腫・感染・開瞼障害(一時的)・凹凸・左右差・アレルギー反応・血管閉塞など。 |
| 施術料金(税込) | ¥88,000+特殊部位手技料¥22,000 |
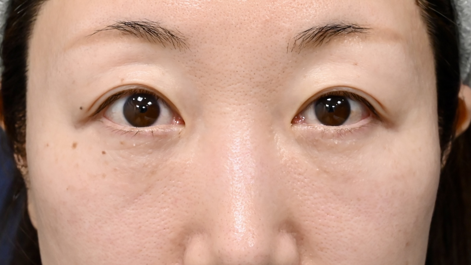
BEFORE
AFTER
| 施術名 | 裏ハムラ法 |
|---|---|
| 施術説明 | まぶたの裏側(結膜側)を切開し、靭帯剥離や眼窩脂肪移動などの組織処理を行い、立体感を整える。 |
| 副作用・リスク | 出血・血腫・感染・結膜炎・結膜下出血・凹凸・左右差・三白眼・内外反など。 |
| 施術料金(税込) | ¥550,000(静脈麻酔代込み) |
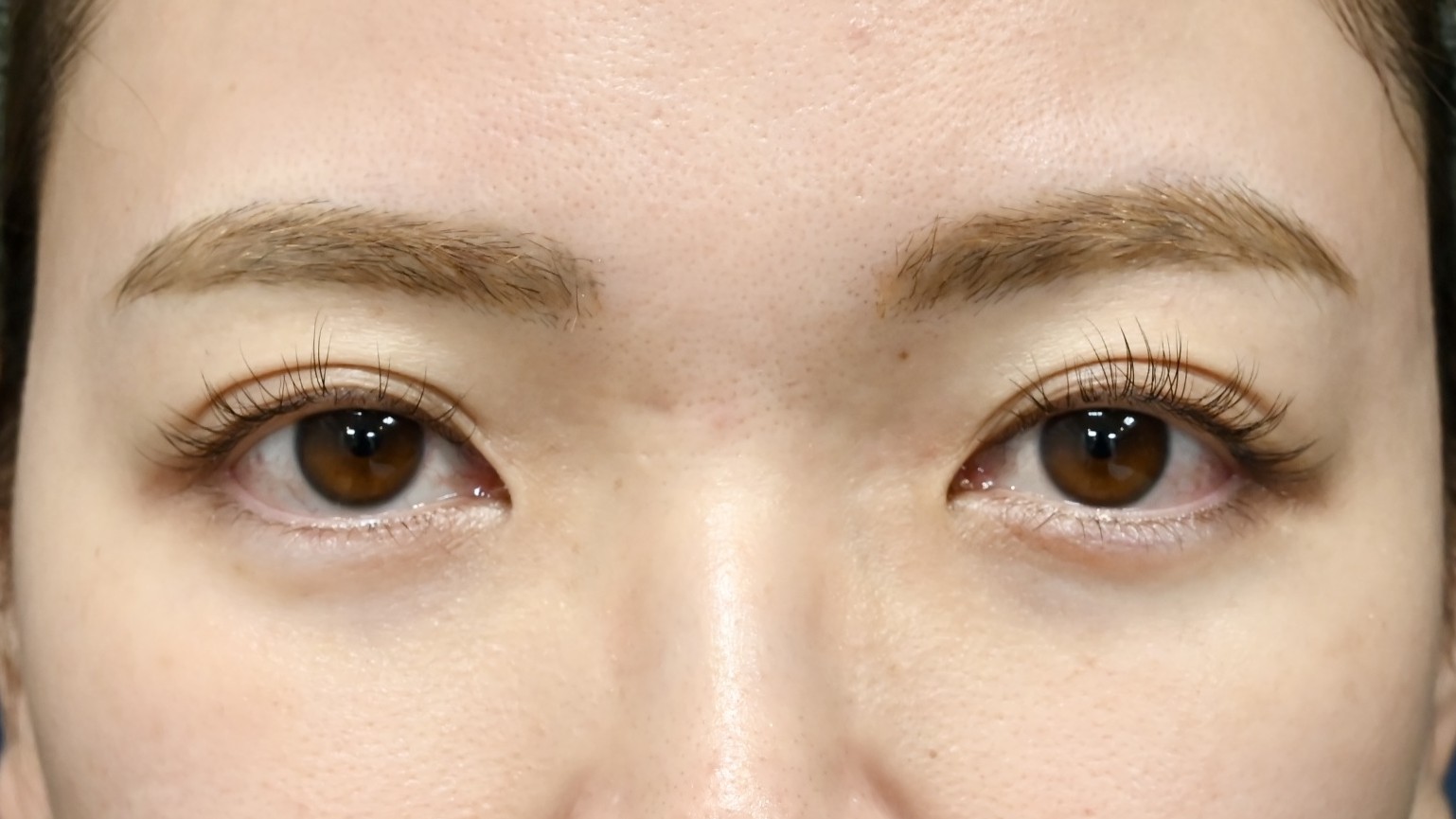
BEFORE
AFTER
| 施術名 | ①ヒアルロン酸注入(上まぶた) ②脂肪注入(他院修正)(目の下・ゴルゴライン) |
|---|---|
| 施術説明 | ①製剤注入によりまぶたの形態を調整する。 ②大腿より採取・精製した脂肪を注入して立体感を調整する。 |
| 副作用・リスク | ①内出血・血腫・感染・開瞼障害(一時的)・凹凸・左右差・アレルギー反応・血管閉塞など。 ②しこり・生着不良など。 |
| 施術料金(税込) | ①¥88,000+特殊部位手技料¥22,000 ②¥440,000(静脈麻酔代込) |
BEFORE
AFTER
| 施術名 | ヒアルロン酸注入(上まぶた) |
|---|---|
| 施術説明 | 製剤注入によりまぶたの形態を調整する。 |
| 副作用・リスク | 内出血・血腫・感染・開瞼障害(一時的)・凹凸・左右差・アレルギー反応・血管閉塞など。 |
| 施術料金(税込) | ¥88,000+特殊部位手技料¥22,000 |
BEFORE
AFTER
| 施術名 | ヒアルロン酸注入(上まぶた) |
|---|---|
| 施術説明 | 製剤注入によりまぶたの形態を調整する。 |
| 副作用・リスク | 内出血・血腫・感染・開瞼障害(一時的)・凹凸・左右差・アレルギー反応・血管閉塞など。 |
| 施術料金(税込) | ¥88,000+特殊部位手技料¥22,000 |
BEFORE
AFTER
| 施術名 | ①裏ハムラ法 ②二重埋没法 |
|---|---|
| 施術説明 | ①まぶたの裏側(結膜側)を切開し、靭帯剥離や眼窩脂肪移動などの組織処理を行い、立体感を整える。 ②上まぶたに細い糸を埋め込み、皮膚を切開せずに二重を形成する。 |
| 副作用・リスク | ①出血・血腫・感染・結膜炎・結膜下出血・凹凸・左右差・三白眼・内外反など。 ②感染・左右差・二重ラインの消失・皮膚の凹凸・糸が出てくるなど。 |
| 施術料金(税込) | ①¥550,000(静脈麻酔代込み) ②¥165,000 |
BEFORE
AFTER
| 施術名 | ①裏ハムラ法 ②二重埋没法(ダブルループ) |
|---|---|
| 施術説明 | ①まぶたの裏側(結膜側)を切開し、靭帯剥離や眼窩脂肪移動などの組織処理を行い、立体感を整える。 ②上まぶたに細い糸を埋め込み、皮膚を切開せずに二重を形成する。 |
| 副作用・リスク | ①出血・血腫・感染・結膜炎・結膜下出血・凹凸・左右差・三白眼・内外反など。 ②感染・左右差・二重ラインの消失・皮膚の凹凸・糸が出てくるなど。 |
| 施術料金(税込) | ①¥550,000(静脈麻酔代込み) ②¥165,000 |
BEFORE
AFTER
| 施術名 | ヒアルロン酸注入(上まぶた) |
|---|---|
| 施術説明 | 製剤注入によりまぶたの形態を調整する。 |
| 副作用・リスク | 内出血・血腫・感染・開瞼障害(一時的)・凹凸・左右差・アレルギー反応・血管閉塞など。 |
| 施術料金(税込) | ¥176,000(2cc使用) |
BEFORE
AFTER
| 施術名 | 表ハムラ法+中顔面リフト |
|---|---|
| 施術説明 | 下まぶたの縁の皮膚を切開し、靭帯剥離や眼窩脂肪移動などの組織処理を行い、立体感を整える。 |
| 副作用・リスク | 出血・血腫・感染・結膜炎・結膜下出血・凹凸・左右差・知覚異常・三白眼・外反・傷あとなど。 |
| 施術料金(税込) | ¥825,000(静脈麻酔代込み) |
BEFORE
AFTER
| 施術名 | ヒアルロン酸注入(上まぶた) |
|---|---|
| 施術説明 | 製剤注入によりまぶたの形態を調整する。 |
| 副作用・リスク | 内出血・血腫・感染・開瞼障害(一時的)・凹凸・左右差・アレルギー反応・血管閉塞など。 |
| 施術料金(税込) | ¥88,000+特殊部位手技料¥22,000 |